Врачи Филатовской детской больницы удалили подростку зуб из носовой пазухи
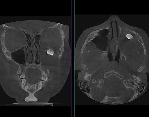
15-летний Артем поступил в Филатовскую детскую больницу с жалобами на асимметрию лица и заложенность левой полости носа. До этого в частной клинике пациенту сделали рентгенограмму и КТ, исследования показали, что в гайморовой пазухе находится полностью сформированный зуб. Врачи клиники предложили удалить зуб через нос и сделать коррекцию носовой перегородки, но мама мальчика решила обратиться за дополнительной консультацией в Филатовскую детскую больницу. В отделении оториноларингологии подростку была выполнена более углубленная компьютерная томография с большим количеством срезов, а также проведен консилиум с челюстно-лицевым хирургом. Врачей смутила клиническая картина заболевания, у них возникло подозрение, что дело в нарушении формирования зубной ткани.
«Нам необходимо было увидеть что происходит в гайморовой пазухе, поэтому мы выполнили мальчику операцию по Колдуэлу Люку, то есть, обеспечили доступ через верхнюю десну. Сделав разрез, мы обнаружили новообразование, внутри которого находился зуб, - рассказывает хирург-оториноларинголог Вугар Фазильевич Достиев, - позже по результатам исследования выяснилось, что это тератома.(тератома – это эмбринально-клеточная опухоль , внутри которой могут находиться элементы тканей, несвойственные этому участку тела – волосы, ногти, мышечные волокна, кости или зубы). Тератомы очень редко располагаются в зоне лица, чаще в крестцовой области. Ни КТ, ни рентген опухоль не показали, поскольку она занимала фактически всю левую полость носа. Наша осторожность полностью оправдалась, здесь было важно удалить новообразование единым комплексом.»
Сейчас Артем уже выписан из больницы. Асимметрия лица и заложенность левой полости носа полностью исчезли, морфологическое исследование тератомы установило ее доброкачественное происхождение.
Такая редкая, и успешная операция стала возможна благодаря мультидисциплинарному подходу, который с 2020 года осуществляется в Филатовской детской больнице. Хирурги-отоларингологи здесь работают вместе с челюстно-лицевыми хирургами, что позволило значительно расширить спектр проводимых хирургических вмешательств.




